Skip to main content
Skip to main navigation menu
Skip to the current issue
Skip to site footer
Open Menu
Journal of the Nuffield Department of Surgical Sciences
About
About the Journal
Editorial Team
Contact
Current Issue
Archives
Submission guidelines
FAQs
Announcements
Search
Search
Register
Login
Current Issue
Vol. 4 No. 2 (2023): Trinity Term 2023
Published:
2023-08-06
Introduction
Foreword
Ashok Handa
Foreword
Editorial
Global Surgery, Universal Health Coverage & the Spirit of Ubuntu
Shobhana Nagraj
Global surgery, universal health coverage & the spirit of Ubuntu
Surgery in Oxford: A History
David Cranston
Surgery in Oxford: A History
Case Studies
First, do no harm: surgical management of von Hippel Lindau syndrome
Hannah Farley
First, do no harm: surgical management of von Hippel Lindau syndrome
Evaluating the decision to use Fenestrated EVAR for the elective treatment of a complex AAA
Georgina Loncarevic Whitaker
Evaluating the decision to use fenestrated EVAR for the elective treatment of a complex AAA
Paediatric Renal Failure- A Lifelong Battle Requiring Multiple Transplantations
Luiza Farache Trajano
Paediatric renal failure - a lifelong battle requiring multiple transplantations
Carotid Artery Web: A rare cause of recurrent ischemic stroke
Katerina Dangas
Carotid artery web: a rare cause of recurrent ischemic stroke
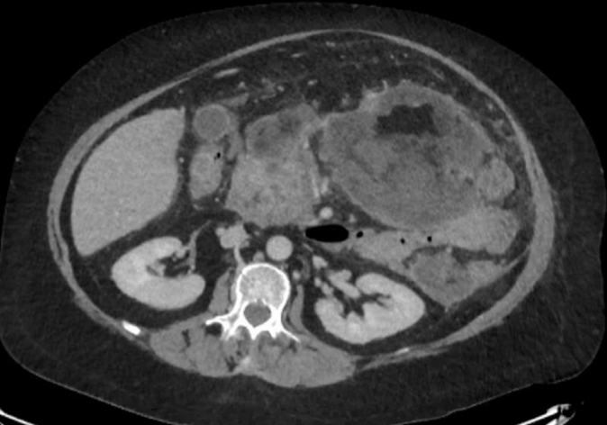
Post-ERCP acute infected necrotising pancreatitis in a patient with Cushing’s disease
Piero Alberti
Post-ERCP acute infected necrotising pancreatitis in a patient with Cushing’s disease
Surgeon Profiles - Celebrating Diversity
Surgeon Profile Series: Professor Meghana Pandit
Zara Small
Surgeon Profile Series: Professor Meghana Pandit
Obituaries
Obituary: Professor Sir Peter Morris
David Cranston
Obiturary: Professor Sir Peter Morris
View All Issues
Information
For Readers
For Authors
For Librarians